Return to Lab 07

Return to Slide List

End-Stage Kidney - (Kidney in Diabetes - PH 1765)
(Be able to identify this slide as end stage kidney; identify normal glomeruli, abnormal glomeruli, tubules, and fibrotic inflammed area; and differentiate between this slide and slides showing normal kidney.)
Regardless of the starting point of each specific type of chronic renal disease, the end is the same, destruction of all parts of the nephron. This final stage is called end-stage kidney. This particular slide shows end-stage kidney due to diabetes. (pp. 713-715, Fig. 46-18)

Compare this slide with that of the normal kidney and with Fig. 46-11 on page 706 of the text. Note that both the glomeruli and tubules are abnormal. Many of the glomeruli are hyalinized (replaced by pink protein material) and many of the tubules show fibrosis. There is also blood present (RBCs) within the tubules.   

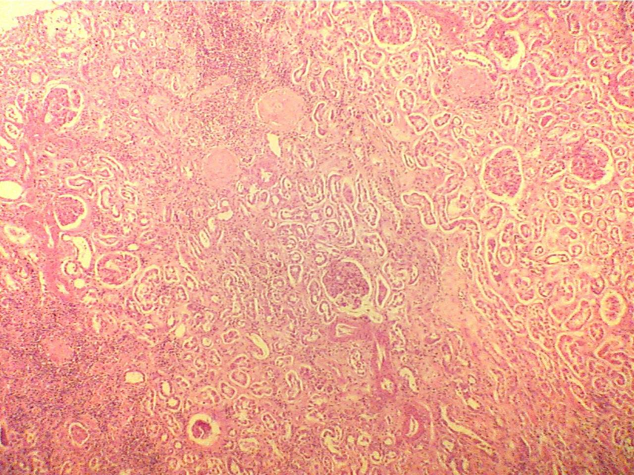
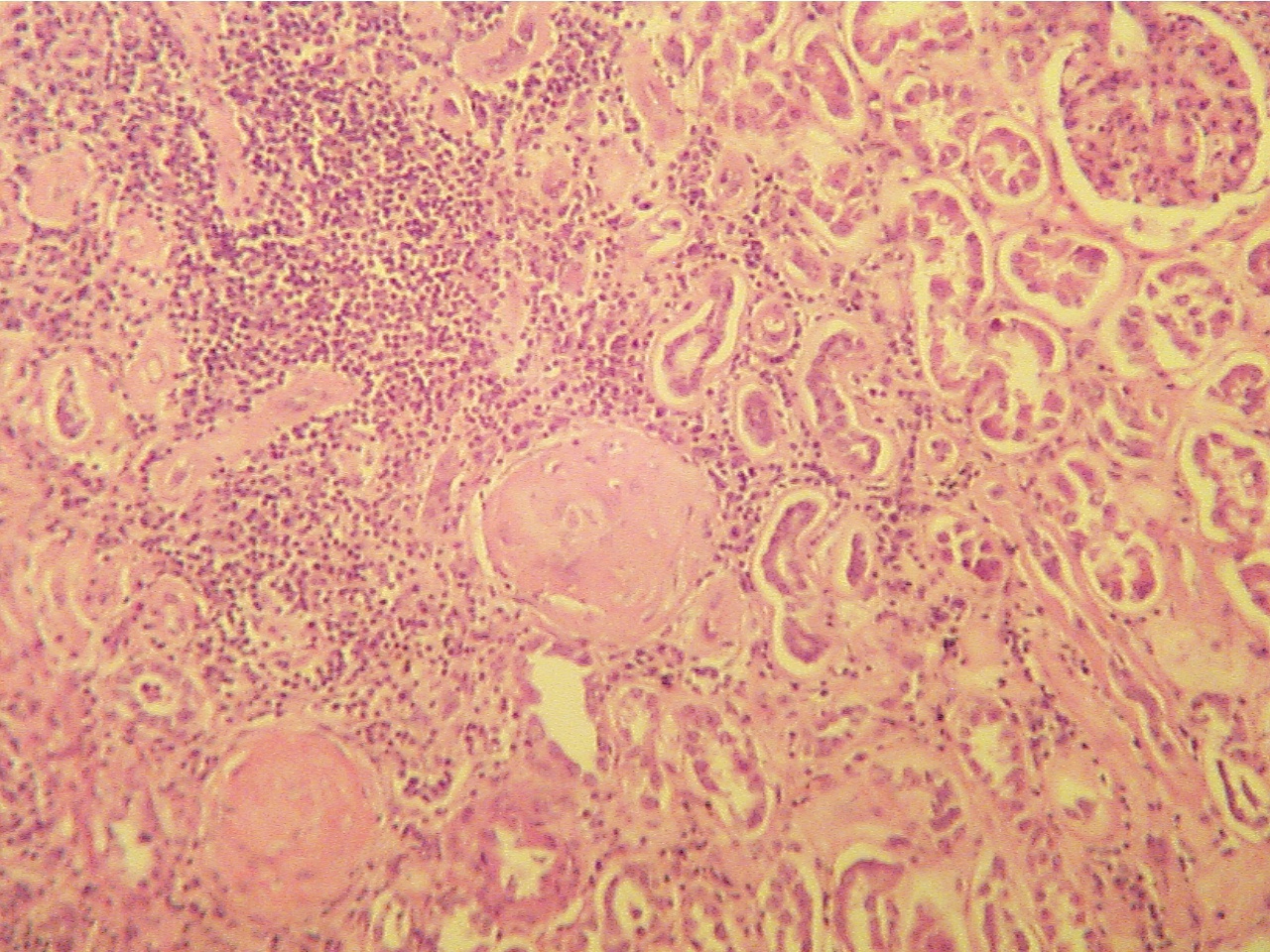
End stage kidney (ESK) cortex (40X2.0)                                      End stage kidney (ESK) cortex (100X2.0)
  
Three normal glomeruli (upper right quadrant),                      Normal glomerulus (upper right), two
two hyalinized glomeruli (above center), few tubules,            hyalinized  glomeruli (center, lower left), 
concentrations of inflammatory cells (lower                             concentration of inflammatory cells (upper left quadrant)
left, upper middle)   

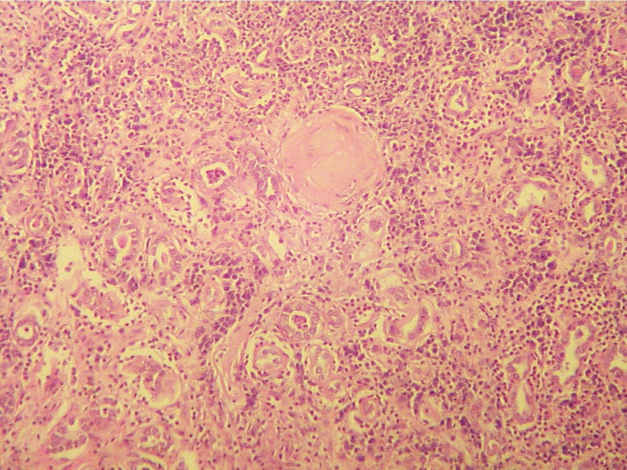
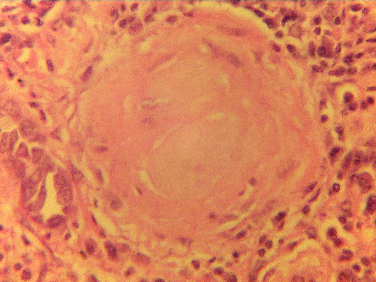
End stage kidney (ESK) cortex (100X2.0)                                     End stage kidney (ESK) glomerulus  (320)
  
Hyalinized glomerulus (above center), few tubules                Hyalinized glomerulus (mostly solid pink with few 
around glomerulus and throughout, inflammatory cells        dark blue nuclei) surrounded by small dark blue
and fibrosis (areas between structures).                                  inflammatory cells rather than tubules. 

            43. End stage renal disease, gross
            44. End stage renal disease, microscopic *

* Which of the 3 main processes in urine formation would be abnormal in this kidney? (p. 661)

Return to Lab 07

Return to Slide List

8
Copyright 2001 - Augustine G. DiGiovanna - All rights reserved.

This material may not be reproduced or distributed in any form or by any means, or stored in any data base or retrieval system without prior written permission is obtained from Augustine G. DiGiovanna, Ph.D.,  Professor of Biology, Salisbury University, Salisbury, MD  21801.