Return to Lab 06

Return to Slide List

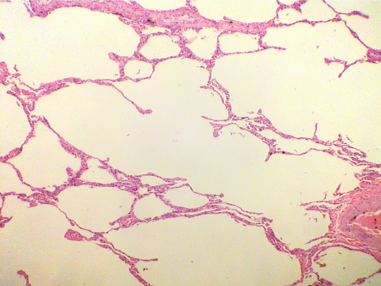
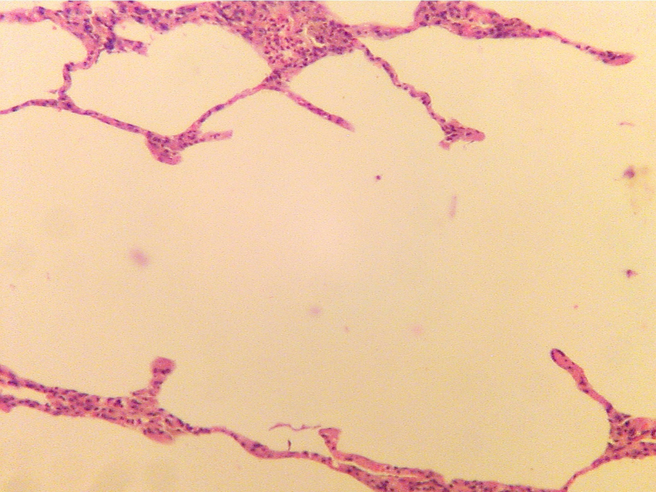
Pulmonary emphysema
- (PH 1250)
(Be able to identify the slide showing emphysema and differentiate between the normal and abnormal regions.)

Note that the alveoli (air spaces) in this slide are much larger than in the slide of normal lung. The functional efficiency of this lung is much reduced as compared to normal.   

Emphysema (40X2.0)                                                                      Normal lung (40X2.0) 
    
Destruction of tissue leaves little surface area, few               Much normal tissue creates large surface area
capillaries, and large air spaces. Large vessel at lower         with many capillaries, many small air spaces. Large
right                                                                                               vessel at extreme left, large airway at lower right

Emphysema (100X2.0)
                                                                     Normal lung (100X2.0)
     
Destruction of tissue leaves little surface area, few                Much normal tissue creates large surface area
capillaries, and large air spaces                                                  with many capillaries, which are filled with
                                                                                                         RBCs (red cells)

* What happens to the alveoli in emphysema? (p. 593, Fig. 38-3)

* Why does this reduce the efficiency of the lung? (pp. 557-566)

Return to Lab 06

Return to Slide List

8
Copyright 2001 - Augustine G. DiGiovanna - All rights reserved.

This material may not be reproduced or distributed in any form or by any means, or stored in any data base or retrieval system without prior written permission is obtained from Augustine G. DiGiovanna, Ph.D.,  Professor of Biology, Salisbury University, Salisbury, MD  21801.