Return to Lab 01
Return to Lab 09
Return to Slide List
Inflammation - Chronic gastritis (PH 1410) (pp. 38-42)
(Be able to identify
this slide as gastritis and differentiate between this slide and slides showing
normal stomach.)
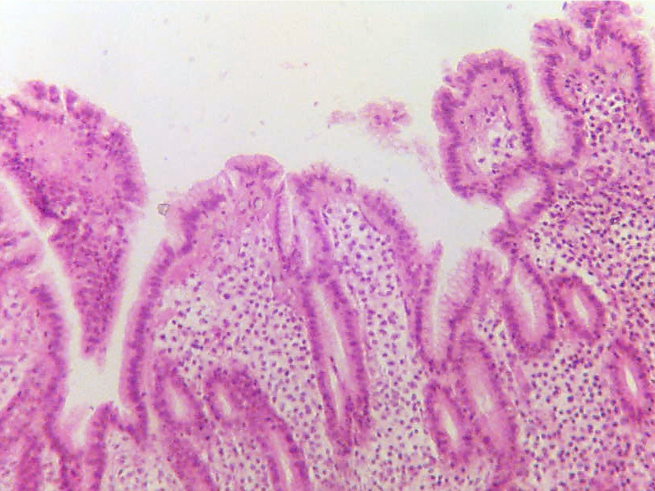
Compare the slide with the diagram of normal stomach mucosa. Notice that on
the slide, the mucosa is thinned and flattened and there is exudate (clear
spaces with pink structureless material) present within the submucosa. Notice
also that the lymph nodes are greatly enlarged and there are large numbers of
white blood cells (stained blue) within the submucosa.
Normal stomach (40X2.8)
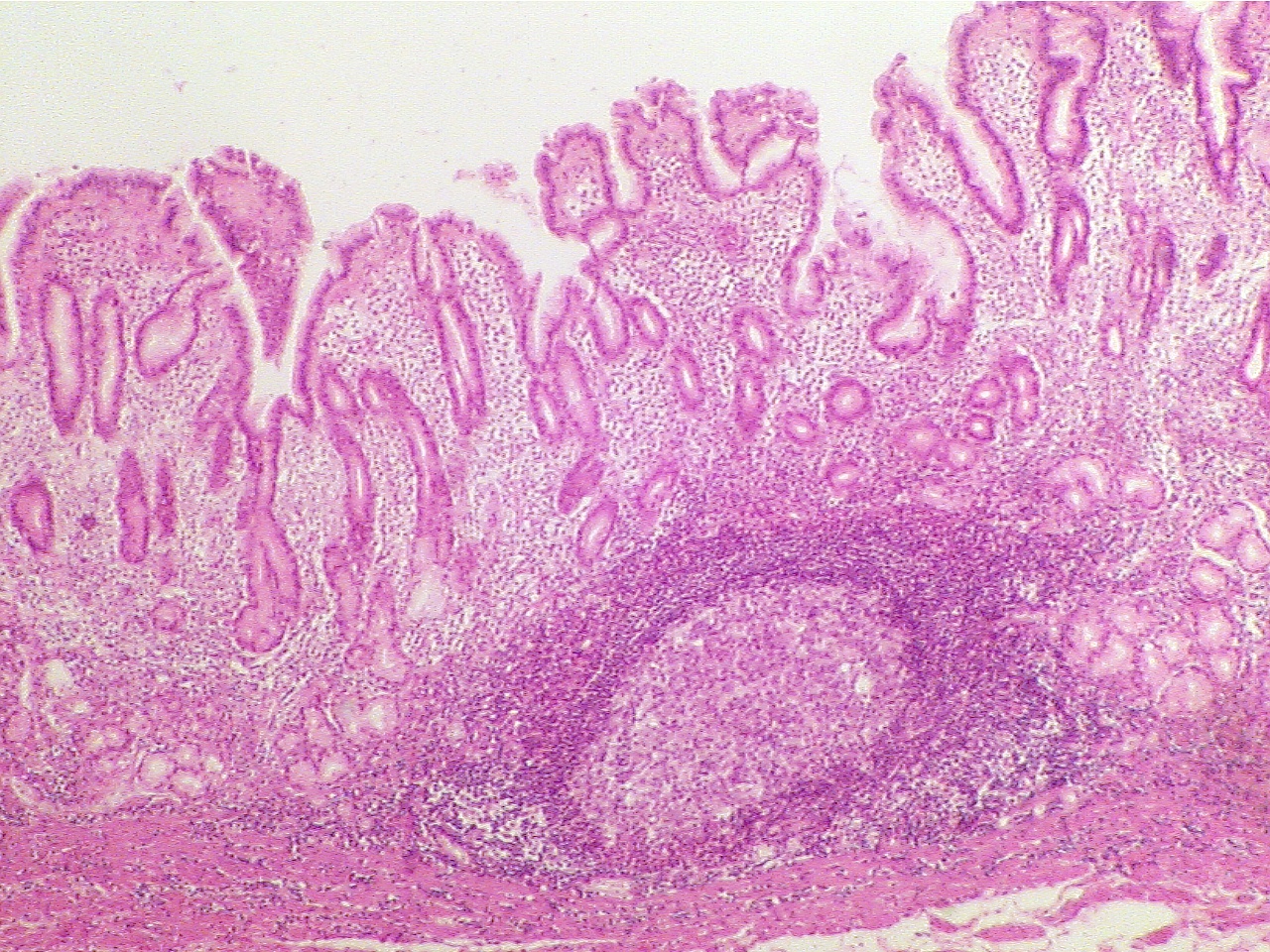
Gastritis (40X2.8)

Mucosa is dark red layer on upper surface
and
Mucosa is dark layer on upper surface and lining
lining pit-like vertical glands. Submucosa
is
pit-like glands. The glands are widely separated
granular material between
glands.
by the exudate-filled submucosa. Large lymph node
at base of submucosa is surrounded by WBCs.
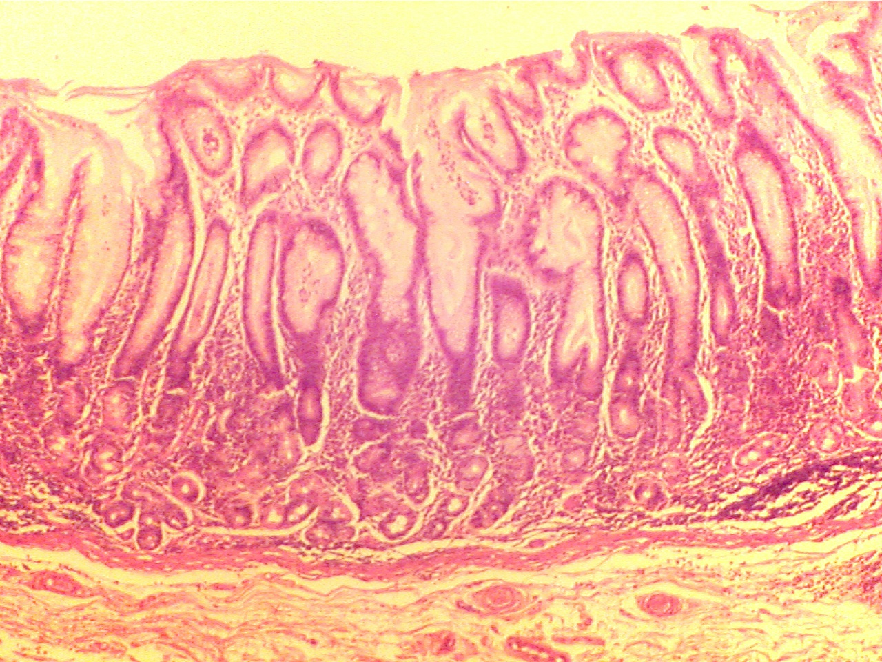
Normal stomach (100X2.8)
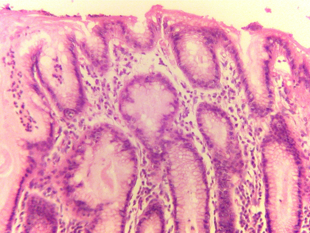
Gastritis (400X2.8)
Mucosa is dark layer on upper surface
and
Mucosa is dark layer on upper surface and lining
lining pit-like vertical glands. Submucosa
is
pit-like glands. The glands are widely separated
scattered cells in clear gel between glands
by the exudate-filled submucosa, which contains.
many small dark inflammatory cells (WBCs).
* What is meant by gastritis?
* Which of the 5 cardinal signs of inflammation is shown?
* What has attracted the lymphocytes into this
area?
Return to Lab 01
Return to Lab 09
Return to Slide List
8Copyright
2001 - Augustine G. DiGiovanna - All rights reserved.
This material may not be reproduced or distributed in any form or by any means, or stored in any data base or retrieval system without prior written permission is obtained from Augustine G. DiGiovanna, Ph.D., Professor of Biology, Salisbury University, Salisbury, MD 21801.