Return to Lab 07
Return to Slide List
Normal Kidney Cortex - (H3490 or H3495)
(Be able to identify this
slide as normal kidney; identify normal glomeruli and tubules; differentiate
between this slide and slides showing abnormal kidney.)
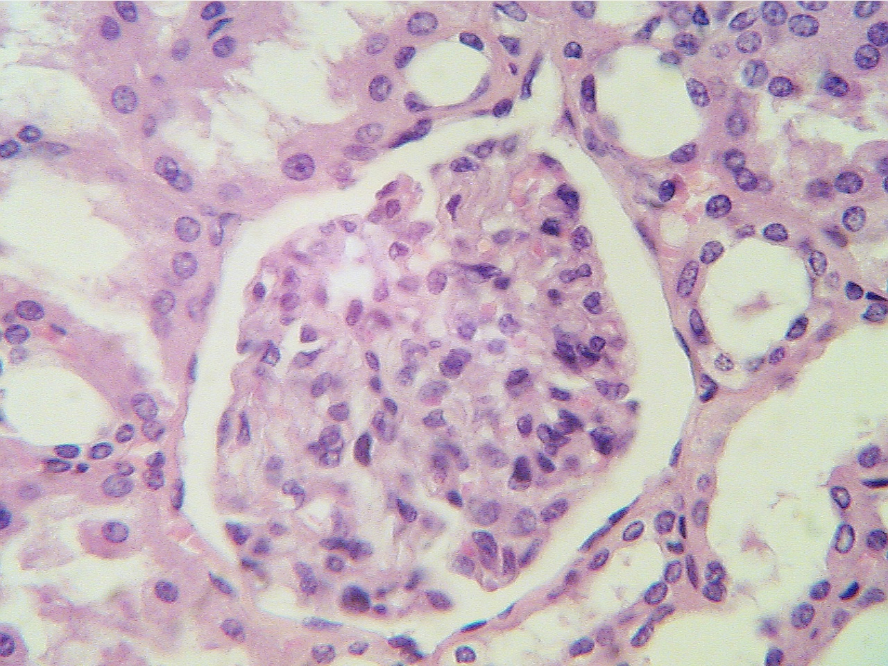
The cortex or outer region of the kidney contains the glomeruli
and Bowman's capsules where
filtration occurs and the proximal and
distal convoluted tubules where reabsorption and secretion
take place. Observe these structures, using the diagram provided. Note
the even appearance of the glomeruli and tubules.
Kidney Cortex
(40X2.0)
Kidney Cortex (100X2.8)

Glomeruli appear as round solid speckled structures. Each is surrounded by a
clear space.
The round cross sections of tubules fill the regions between glomeruli. Each
tubule an open center.
Kidney Cortex (400X1.6)
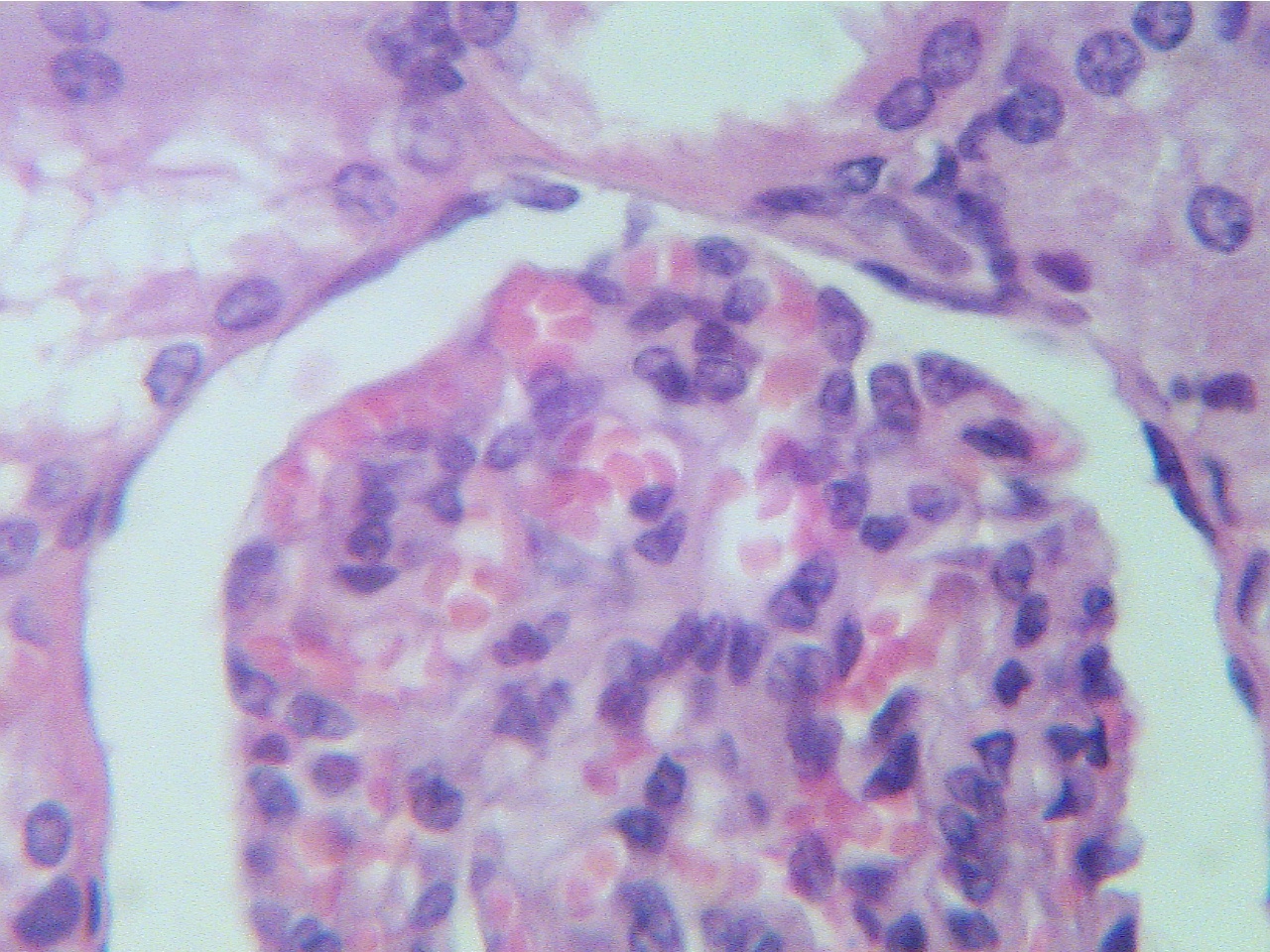
Glomerulus (400X2.8)

Note the numerous dark blue nuclei of the
cells
Note the numerous dark blue nuclei of the
making up this glomerulus. The opening from
the
glomerular cells. Observe the capillaries containing
Bowman's capsule of this glomerulus to
the
red RBCs, which have no nuclei.
proximal convoluted tubule can be seen at the top
of the capsule.
Normal Kidney Medulla - (H3490)
The medulla or inner region of the kidney contains the loops of Henle
and collecting ducts where water reabsorption occurs. Note the even
appearance of these structures.
Kidney medulla (100X1.6)
Kidney medulla (400X2.8)

Return to Lab 07
Return to Slide List
8Copyright
2001 - Augustine G. DiGiovanna - All rights reserved.
This
material may not be reproduced or distributed in any form or by any means, or
stored in any data base or retrieval system without prior written permission is
obtained from Augustine G. DiGiovanna, Ph.D., Professor of Biology,
Salisbury University, Salisbury, MD 21801.