Return to Lab 01
Return to Slide List
Leukemias - Normal Blood Smear (G 510), Chronic Lymphocytic Leukemia
(PH 1070) and Chronic Granulocytic Leukemia (PH 1050) (pp. 116-117), also see
photographs of normal blood cells.
(Be able to identify normal blood
and slides showing leukemias; and differentiate between slides showing normal
blood and those showing leukemia.)
First study the normal blood smear by scanning the slide. Note the
relative abundance of red blood cells and white blood cells. Neutrophils are the
most common type of WBC in normal blood.
Normal
blood (100X2.0)
Normal blood - WBCs are dark (100X2.8)

Two WBCs (blue dots) and many
RBCs
TwoWBCs (lymphocyte at left, neutrophil at far right)
and many RBCs
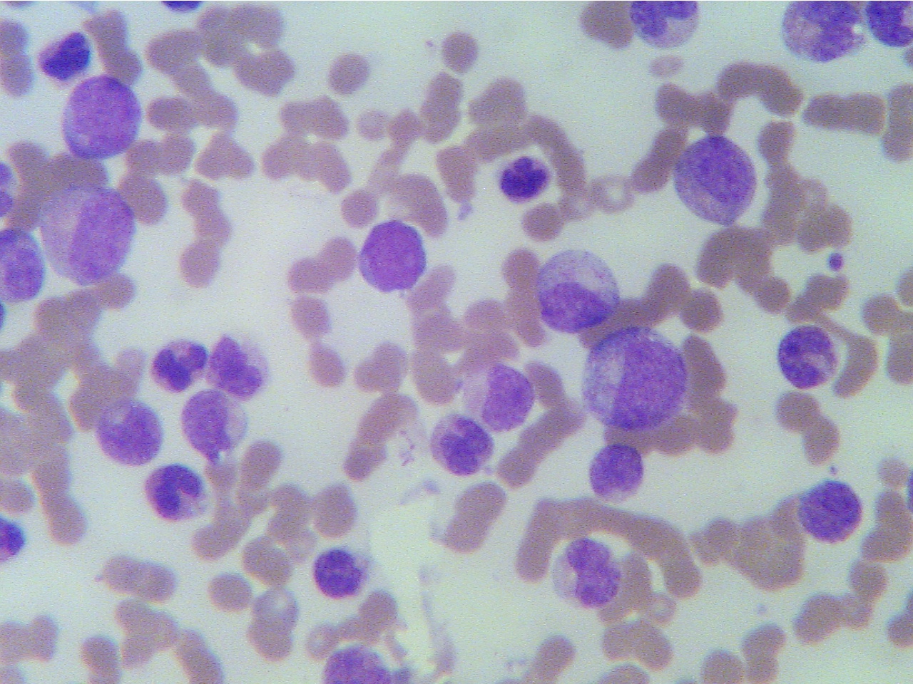
Now study the smear from a patient with chronic
lymphocytic leukemia.
Note the relative abundance of RBCs and WBCs (observing a number of fields) and
note that almost all the WBCs are lymphocytes.
Lymphocytic leukemia (100X2.0)
Lymphocytic leukemia (400X2.3)
Many WBCs (dark dots), which are lymphoctes
Four WBCs, all of which are lymphocytes
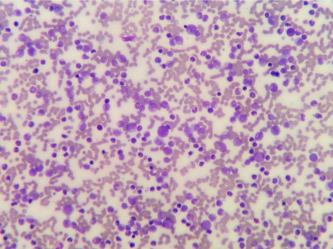
On the slide of the chronic granulocytic leukemia, note that there are
more WBCs than RBCs and that the WBCs are abnormal in size, shape and nuclei.
Compare these WBCs with those in the normal blood smear.
Granulocytic leukemia (100X2.8)
Granulocytic leukemia (400X2.3)
WBCs (blue cells) are extremely numerous, RBCs
are WBCs (blue cells) are
numerous and many are dysplastic
much less numerous than in normal
blood
(i.e., have abnormal stucture {e.g., abnormally large, large
nuclei})
* What is a general term for a cancer involving WBCs? (pp. 116-117 96)
* What is a general term for a cancer involving lymphoid tissue? (pp. 116-117)
Return to Slide List
8Copyright
2001 - Augustine G. DiGiovanna - All rights reserved.