Return to Lab 08

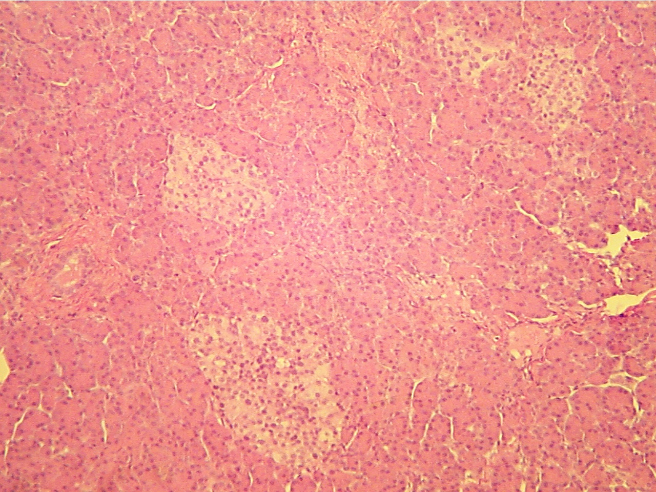
Normal Pancreas - (H 8122)
(Be able to differentiate between normal pancreas and abnormal pancreas.)

As you study this slide, note that scattered amongst the pink staining glandular cells are scattered foci of lighter staining cells. The cells staining dark pink are the cells of the exocrine pancreas, which produce digestive enzymes. The scattered lighter foci are called the Islets of Langerhans and they form the endocrine pancreas which makes 2 hormones involved in maintaining blood glucose levels.   

Normal pancreas (100X2.0)
 
Light patches are islets of Langerhans. Darker
regions are enzyme-producing cells.

* Name these 2 hormones and the cells that produce them. (p. 954 Fig. 63-1)

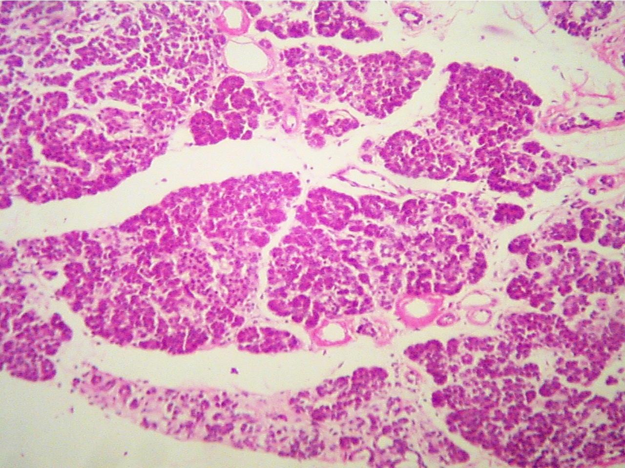
Diabetic Pancreas - (PH 1600)

In this slide, there appear to be fewer glandular cells and more connective tissue throughout the pancreas. It is very difficult to find a recognizable Islet of Langerhans. See if you can find one.

Diabetic pancreas (100X2.0)
 

Return to Lab 08

8Copyright 2001 - Augustine G. DiGiovanna - All rights reserved.

This material may not be reproduced or distributed in any form or by any means, or stored in any data base or retrieval system without prior written permission is obtained from Augustine G. DiGiovanna, Ph.D.,  Professor of Biology, Salisbury University, Salisbury, MD  21801.