Return to Lab 06

Return to Slide List

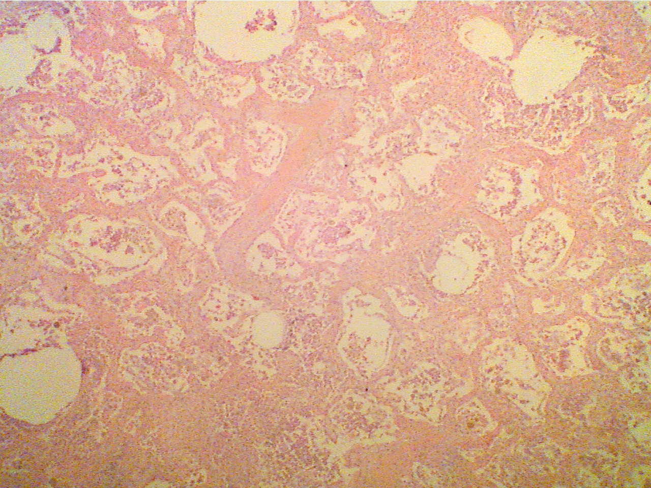
Chronic pneumonia
- (PH 1222)
(Be able to identify the slide showing pneumonia; differentiate between normal lung and diseased lung.)

Compare the alveoli (air spaces) of this lung with the normal. Notice that they are filled with cells and fluid.   

Pneumonia (40X2.0)                                                                         Normal lung (40X2.0)
      

* Why are these cells and fluid present? (pp. 606-609)

* How does this impair respiratory function? (Fig. 39-6)

Return to Lab 06

Return to Slide List


8
Copyright 2001 - Augustine G. DiGiovanna - All rights reserved.

This material may not be reproduced or distributed in any form or by any means, or stored in any data base or retrieval system without prior written permission is obtained from Augustine G. DiGiovanna, Ph.D.,  Professor of Biology, Salisbury University, Salisbury, MD  21801.