Return to Lab 01

Return to Slide List

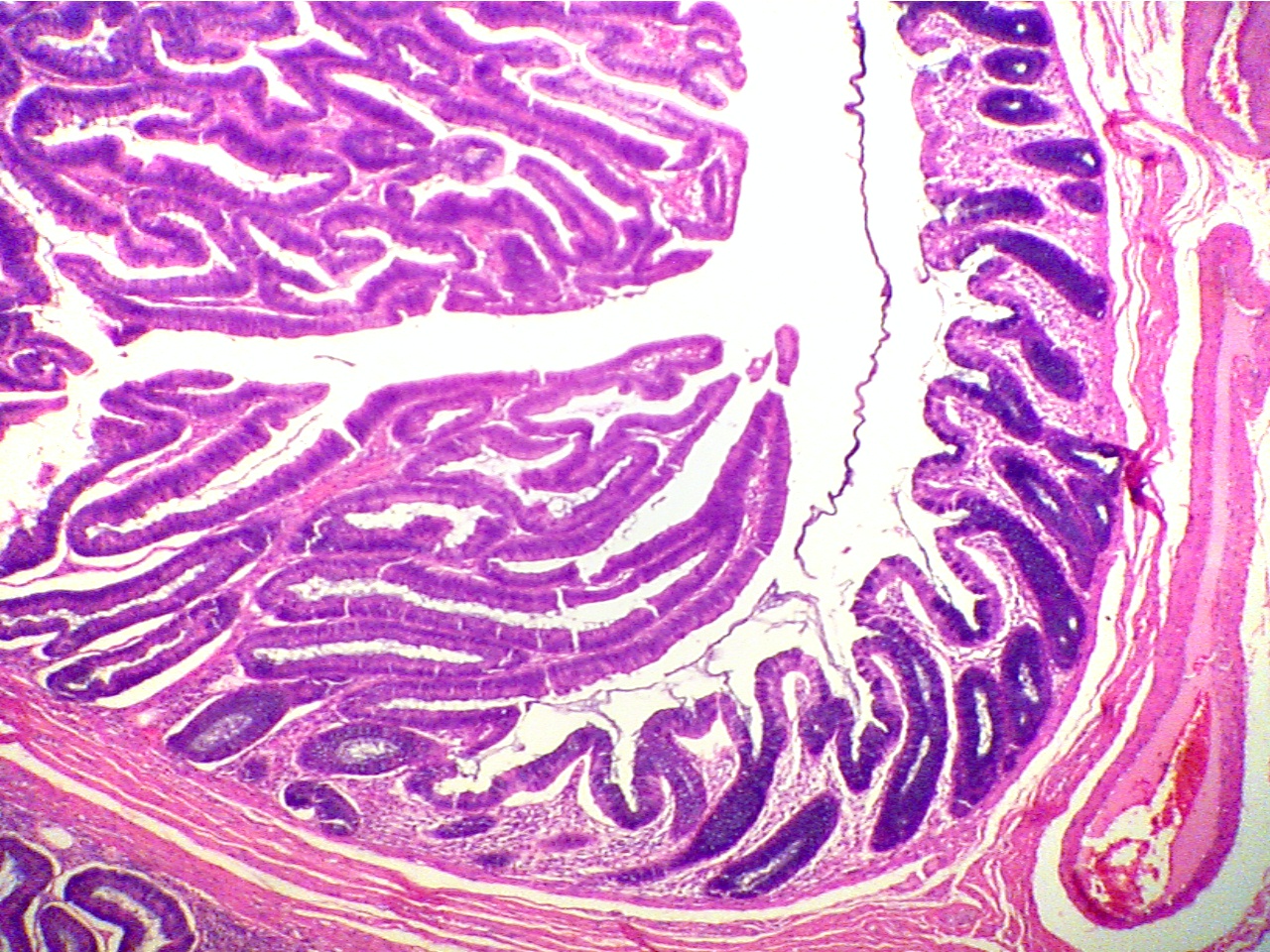
Benign Adenoma
- Adenomatous Polyp of the Colon - Benign (PH 1435) (pp. 114, 116)
(Be able to identify this slide; differentiate between normal and diseased areas.) 

Note that the mucosal cells have undergone massive proliferation. However, they remain in their normal though expanded arrangement, remain attached to one another and therefore form a benign tumor. (Compare with Fig. 8-10, p. 93). Compare the thickness of the adenoma mucosa with that of the short piece of normal mucosa.  

                                        Adenomatous polyp (40X1.6)
                                          
                                        Normal mucosa (thin dark layer) at right, neoplasia (very thick 
                                        dark purple layers) at left 

* Why is this called an adenoma?

Also observe the endoscopic photograph of a polyp of the colon.

Return to Lab 01

Return to Slide List

8
Copyright 2001 - Augustine G. DiGiovanna - All rights reserved.

This material may not be reproduced or distributed in any form or by any means, or stored in any data base or retrieval system without prior written permission is obtained from Augustine G. DiGiovanna, Ph.D.,  Professor of Biology, Salisbury University, Salisbury, MD  21801.