Return to Lab 09

Return to Slide List

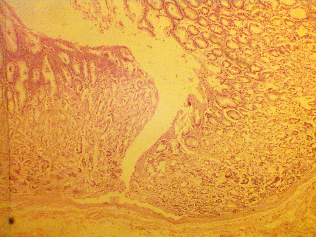
Acute Peptic Ulcer
(
pp. 331-335)
(Be able to identify the slide showing the ulcer and identify the ulcer itself.) 

Notice that the inner lining of the stomach consists of a very thick mucosal layer consisting of tall rows of glandular cells running parallel to each other. The thick mucosa has a deep narrow gap extending to the bottom of the mucosa. This gap is the ulcer.  

Normal stomach mucosa (40X2.8)                                                            Stomach mucosa with ulcer (40X2.0)
  

* Define the term ulcer. (p. 35)

* What makes this ulcer a peptic ulcer? (p. 333)

* How does this acute ulcer differ from an erosion or a chronic ulcer? (p. 331, Fig. 24-4) 

Return to Lab 09

Return to Slide List

8
Copyright 2001 - Augustine G. DiGiovanna - All rights reserved.

This material may not be reproduced or distributed in any form or by any means, or stored in any data base or retrieval system without prior written permission is obtained from Augustine G. DiGiovanna, Ph.D.,  Professor of Biology, Salisbury University, Salisbury, MD  21801.