Return to Slide List
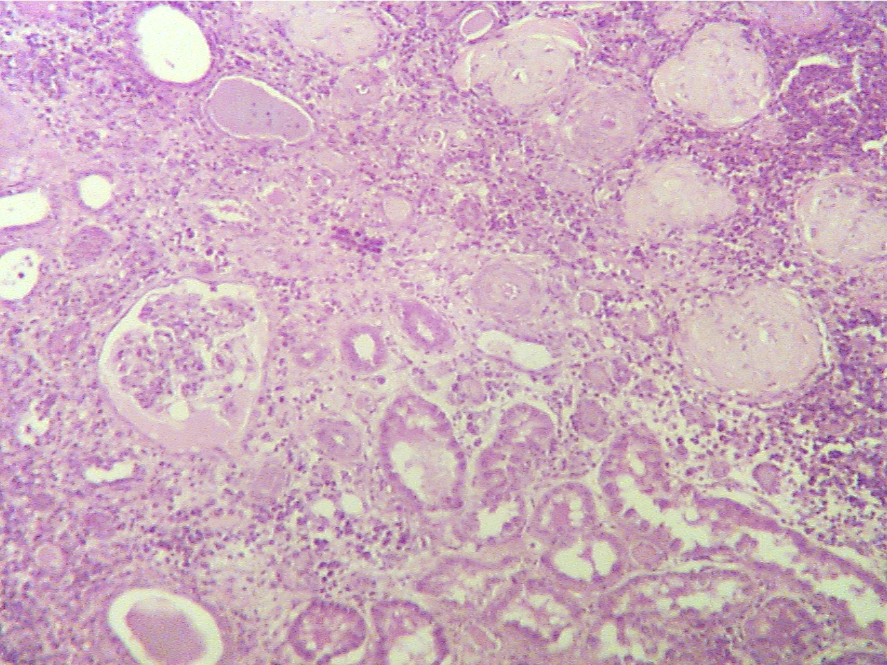
Chronic Pyelonephritis - (PH 1728) (pp. 699-701)
(Be able to identify this slide as end stage kidney; identify normal
glomeruli, abnormal glomeruli, tubules, and fibrotic inflamed area; and
differentiate between this slide and slides showing normal kidney.)
In chronic pyelonephritis, not only the tubules but also the
glomeruli have been damaged. Some of the tubules are filled with casts,
some of the glomeruli have become hyalinized (appear solid and pink)
and there are scattered patches of white blood cells. Compare this slide
with the slide of normal kidney and with Fig. 46-6, p. 700, Fig. 46-11,
p. 706.
Pyelonephritis with hyalinized glomeruli (100X2.0)
Hyalinized glomerulus(400X2.3)

Cast in tubule (bottom left), normal glomerulus
Hyalinized glomerulus (mostly solid pink with few
(middle left), hyalinized glomeruli (upper
right
dark blue nuclei) surrounded by small dark blue
quadrant), few tubules (lower right
quadrant),
inflammatory cells rather than tubules.
inflammatory cells and fibrosis (areas between structures)
This is an End Stage Kidney.
Return to Lab 07
Return to Slide List
8Copyright
2001 - Augustine G. DiGiovanna - All rights reserved.
This material may not be reproduced or distributed in any form or by any means, or stored in any data base or retrieval system without prior written permission is obtained from Augustine G. DiGiovanna, Ph.D., Professor of Biology, Salisbury University, Salisbury, MD 21801.