Return to Slide List
Chronic Pyelonephritis -(Chronic Pyelitis and Pyonephrosis
- PH 1730)
(Be able to identify this slide as being abnormal and identify
the casts.)
This slide emphasizes the presence of protein casts in the tubules.
(See Fig. 46-6, p. 700, Fig. 46-11, p. 706). The damaged tubules have leaked
proteins which have coagulated into the round pink casts. (Pyelitis means
the renal pelvis is infected and pyonephrosis means hydronephrosis which
has become infected. You do not have to know these two terms). Do not confuse
casts in tubules with hyalinized glomeruli even though they are similar
in appearance.
Kidney tubules containing casts
(40X2.0)
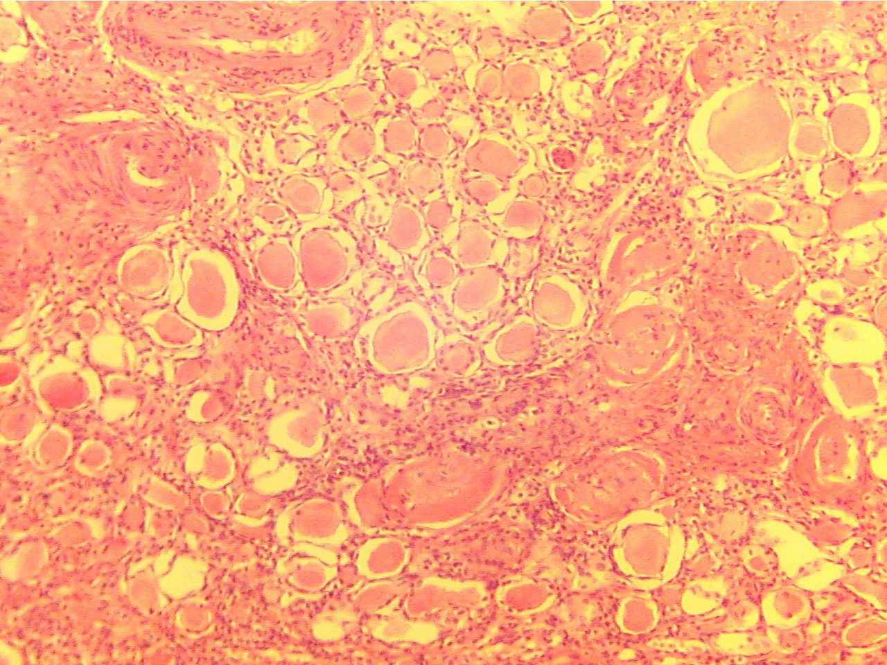
Kidney tubules containing casts (100X2.0)
Casts are very numerous, are of different sizes, and in these slides,
contain no cells or nuclei.
Hyalinized glomeruli in our slides are fewer in
number, of equal sizes, and contain a few cell nuclei.
Kidney tubules containing casts (400X2.8)

The outward pressure from a cast in a tubule
causes atrophy (thinning) of the tubule cells
from their normal cuboidal shape to a thin flat
squamous shape. Inflammation is evident from
the presence of many inflammatory cells (small dark blue)
between the tubules
Return to Lab 07
Return to Slide List
8Copyright
2001 - Augustine G. DiGiovanna - All rights reserved.
This
material may not be reproduced or distributed in any form or by any means, or
stored in any data base or
retrieval system without prior written permission is
obtained from Augustine G. DiGiovanna, Ph.D., Professor of Biology,
Salisbury University, Salisbury, MD 21801.